Multiple configuration | Easy range selection
Fixed table/Motorized lifting tableMinimum distance from table surfaceto the ground :50cm
|
100um / 139um optional |
|
Why choose Digital Motion X-ray?Multifuctional Dynamic | ● Digital motion x-ray use leading edge tecnology inmaking detailed and real time images than staticimages.
|
One for all
Radiography Center
Health Examination Center
orthopedics and Trauma
Pulmonary
Glimaging
Gynecology |
Digital radiographyGeneral radiography, high kv radiography, oblique position radiography.
Digital fluoroscopyChest and abdominal fluoroscopy, foreign body localization and removal.
Digital angiographyEsophagogram, intravenous pyelography,T-tube cholangiogram, salpingography.
Digital spot imaging(DSI)Spot imaging in milliseconds, high definition image acquisition to accurately target the lesions. |
![]() | Flexible and efficiency |
● Each FPD equipped with removable grid. Removable grid for bucky stand
| Removable grid for table
Vertical radiography stand(optional)
|
Automatic tracking function
Low profile radiography
| Diverse radiography position
wheelchair and stretcher radiography
|
Green environmental protection Accurate and efficient● The pioneer usher in intelligent radiation dose monitoring system.
● The pioneer usher in intelligent radiation dose monitoring system. |
● A variety of perspective modes are available.
|
Feature enhancements |
● Panoramic images of full spine, full lower limbs.
|
Cloud Image lnterconnection● The system brings convenience to staff by multiple intelligence control modes, simple and fast control interface and efficient image collection will acceler-ate the speed and improve accuracy of clinical radiography. ● High standard software system, faster image acqui-sition, improved workflow continuity and overall inspection quality.3-5 seconds speed conversion,1-2 seconds faster than similar DR, offering faster examine experience for clinic.
| ![]() |
Certifications- CE,ISO Approved
|
● The system can be maintained remotely, it can perform fault self-diagnosis and display fault codes, quickly and accurately determine the fault status and has self-protection functions. |


Easy range selection

Fixed table/Motorized lifting tableMinimum distance from table surfaceto the ground :50cm


100um / 139um optional
Single / double panel optional
Static / dynamic panel optional


Multifuctional
● Capable of digital radiography, digital fluoroscopy and digital angiography.
Dynamic
● A technique for analyzing dynamic changes based on the transmittance of X-rays.
● Enables clinicians to observe the dynamic motion of anatomical structures over time, enhancingdiagnostic capabilities.
● Digital motion x-ray use leading edge tecnology inmaking detailed and real time images than staticimages.
● Evaluate the patiens’ condition or recovery effectivelyby observing the dynamic changes of organ function.








General radiography, high kv radiography, oblique position radiography.

Chest and abdominal fluoroscopy, foreign body localization and removal.

Esophagogram, intravenous pyelography,T-tube cholangiogram, salpingography.

Spot imaging in milliseconds, high definition image acquisition to accurately target the lesions.

● 100um, more details and more accuracy
● 18 million pixel radiography
● 30 fps dynamic image acquisition
● 17″ x 17″ large FOv, avoid multiple exposures to reduce radiation
● Optional FPD makes the process highly efficient

● Each FPD equipped with removable grid.
● 1m and 1.8m standard SID.
Removable grid for bucky stand

Removable grid for table

Vertical radiography stand(optional)

Automatic tracking function
The tube can be automatically back to center-position conveniently and quickly when the chestradiograph frame is placed.

Low profile radiography
35cm minimal distance between X-ray tube andthe floor, allowing low profile radiography coveredby wide range tube movement.

Diverse radiography position
Large angle rotatable X-ray tube enables a variety of radiography position, e.g. cervical AP view, odontoid view,submentovertical projection.

wheelchair and stretcher radiography
The tube and column can rotate 180 , providing convenience for stretcher and wheelchair patients to avoiding secondary injury.

● The pioneer usher in intelligent radiation dose monitoring system.
● Synchronous dose monitoring system, guaranteeing more accurate diagnosis.

● The pioneer usher in intelligent radiation dose monitoring system.
● Synchronous dose monitoring system, guaranteeing more accurate diagnosis.

● A variety of perspective modes are available.
● Extremely fast exposure, reducing image noise and improving sharpness.
● Significantly reduce radiation dose and take care of the health of doctors and patients.

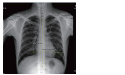
Cardiothoracic ratio is a common indicator for evaluating cardiac enlargement, and is mostly used for diagnosis of exclusion or follow-up evaluation of patients.(For example, if the cardiothoracic ratio is found to be enlarged during the examination, further examination can be carried out in com-bination with the medical history and symptoms to confirm the diagnosis)

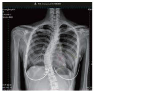
Spinal measurement can visually display the overall anato-mical shape and scoliosis position of the spine, judge the balance and flexibility of the spine, and have certain value in the diagnosis, preoperative evaluation, and postoperative judgment of scoliosis.

● Panoramic images of full spine, full lower limbs.
● Accurate measurements of preoperative planning and postoperative surgery.
● One-step radiography, providing more reliable diagnostic basis for clinical practice.

● The system brings convenience to staff by multiple intelligence control modes, simple and fast control interface and efficient image collection will acceler-ate the speed and improve accuracy of clinical radiography.
● Meet the different requirements of outpatient, eme-rgency, physical examination on different cases.
● High standard software system, faster image acqui-sition, improved workflow continuity and overall inspection quality.3-5 seconds speed conversion,1-2 seconds faster than similar DR, offering faster examine experience for clinic.
● Fast automatic image processing.
● Automatic image output.




● The system can be maintained remotely, it can perform fault self-diagnosis and display fault codes, quickly and accurately determine the fault status and has self-protection functions.
● lt can share information with PACS system, bring benefits for remote diagnosis.