Clear Vision and Image | Clear skeletal images;
|
Intelligent Motion Design Convenient and EfficientThe tube and the detector can achieve intelligent automatic tracking, complete horizontal and vertical movement, With one-button upright and prone position conversion, intelligent movement is more easily. The tube and the detector can achieve vertical electric control and horizontal manual/electric control to meet the different operation habit for the medical staff. The table can ascend or descend in a large range low ground clearance, which is convenient to move patients and reduce patients pain to improve work efficiency. Ceiling suspended frame covers a widely exposure area. | Free rotation of X-ray tube enables different angle of radiography for complex orthopedic position, allowing easy positioning for patient on wheelchair and stretcher and avoiding missed diagnoses or misdiagnosis caused by blind shots.
|
Intelligent Control System Improve Work EfficiencyThe focal point of the X-ray tube automatically zooms in on the detector, no requiring manual operation. Synchronized vertical travel of the X-ray tube and bucky unit, providing fast positioning for examination. Automatically controlling the amount of total radiation to ensure a better image quality.
|
Easy full spine and full lower extrimities radiography, improving diagnostic efficiency. Built-in charging port in both bucky stand and bucky table can always speed up workflow with fast charging. |
User-friendly Touch Interface Easy Exposure ControlLCD touch screen to control the SID movement and tube rotation.
The system offers an easy-to-understand visual logic for intuitive exposure parameter setting. Allowing instant exposure for fast examination, saving valuable time for emergency workflow. Exposure parameters synchronization between touch screen interface and workstation, speeding up the workflow in daily routine. | Auto rotation between table and bucky stand, offering easy and convenient operation.
Real-time DAP monitoring is available, measuring actual dose level and displaying on the console.
|
Rich Options for Clinical Application● Two available options of bucky table: mobile type and lifting type. The lifting table is able to lower to a minimum of 56cm, maximizing the focus on patient care.
● Self-developed high voltage generator provides high quality and stable X-ray.
| ● X-ray tube with high heat capacity and high speed anode rotation.
● High spacial resolution imaging detector brings crystal clear image with delicate details.
|
Excellent imaging system contributes to high-quality images.
| ![]() |
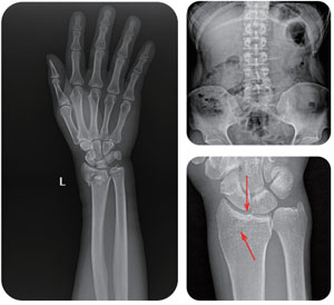
A hundred-micron FPD with excellent imaging performance;
4K*4K acquisition matrix and 100μm pixel size;
Clearly display small lesions in each part of the examination;
Effectively displaying more cell image details;
Clearer and sharper details such as hilar shadow structure and lung texture;
Clear skeletal images;
Rich imaging details;
More minute details of each bone trabeculae and bone cortex;
More accurate diagnosis for orthopedic trauma patients.

The tube and the detector can achieve intelligent automatic tracking, complete horizontal and vertical movement, With one-button upright and prone position conversion, intelligent movement is more easily. The tube and the detector can achieve vertical electric control and horizontal manual/electric control to meet the different operation habit for the medical staff. The table can ascend or descend in a large range low ground clearance, which is convenient to move patients and reduce patients pain to improve work efficiency. Ceiling suspended frame covers a widely exposure area. Free rotation of X-ray tube enables different angle of radiography for complex orthopedic position, allowing easy positioning for patient on wheelchair and stretcher and avoiding missed diagnoses or misdiagnosis caused by blind shots. The focal point of the X-ray tube automatically zooms in on the detector, no requiring manual operation. Synchronized vertical travel of the X-ray tube and bucky unit, providing fast positioning for examination. Automatically controlling the amount of total radiation to ensure a better image quality. Easy full spine and full lower extrimities radiography, improving diagnostic efficiency. Built-in charging port in both bucky stand and bucky table can always speed up workflow with fast charging. LCD touch screen to control the SID movement and tube rotation. The system offers an easy-to-understand visual logic for intuitive exposure parameter setting. Allowing instant exposure for fast examination, saving valuable time for emergency workflow. Exposure parameters synchronization between touch screen interface and workstation, speeding up the workflow in daily routine. Auto rotation between table and bucky stand, offering easy and convenient operation. Real-time DAP monitoring is available, measuring actual dose level and displaying on the console. ● Two available options of bucky table: mobile type and lifting type. The lifting table is able to lower to a minimum of 56cm, maximizing the focus on patient care. ● Self-developed high voltage generator provides high quality and stable X-ray. ● X-ray tube with high heat capacity and high speed anode rotation. ● High spacial resolution imaging detector brings crystal clear image with delicate details.Intelligent Motion Design Convenient and Efficient
Multi-dimensional moveable bucky stand for various radiography placements.
Intelligent Control System Improve Work Efficiency


User-friendly Touch Interface Easy Exposure Control



Rich Options for Clinical Application

● Unique mobile design maximizes the spacial layout.
● Extending the workflow with stable image quality in a variety of clinical application.
● Flexible configuration and option: portable or wireless, single or double.
Excellent imaging system contributes to high-quality images.

