CORE ADVANTAGES | ![]() |
Wide range of clinical applications Multi-departmental surgeries
Interventional Department PLX7100A is widely used in clinical applications and is suitable for interventional |
Gastroenterology
|
Versatile functions designed for interventionThe FPD can be lifted in a wide range to flexibly adjust SID and be close to the examination area for clearer fluoroscopic images. When fluoroscopy is started, the high-pressure injector automatically injects the contrast agent, which simplifies the doctor’s workflow and obtains high-quality angiography
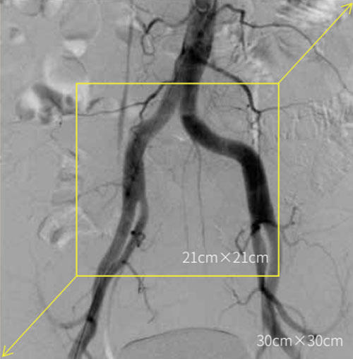
| DSA is used to clearly visualize blood vessels in a
The bedside controller enables common operations such as motion control, exposure parameter adjustment, image viewing and saving to be done beside the operating table.
|
High-quality image chains Ultra-clear imagesLarge dynamic FPD with smaller pixel size, ensuring distortionless imaging; Wider FOV, avoiding overlapping and omissions, reducing exposure time and radiation dose, and shortening the operation time. The maximum output power, as high as 25kW; |
Large dynamic FPD |
Mobile design without modifying operating roomsMeeting the surgical needs of about 80% large DSA equipment
| The operating room does not need to be modified and install ground rails and hangers, reducing the initial construction cost of intervention department. The equipment can be freely moved to any operating room, which greatly improves the utilization rate of the equipment. The equipment covers an area of only about 2 m2, saving the operating room space to place other equipment, which is convenient for the construction of a composite operating room. |
Reduce radiation dose Care for health of doctors and patientsIntelligently adjusting the pulse width. Accurately adjusting exposure dose according to different body types and body parts Specialized for pediatrics
| Previewing the effective exposure field of view by observing the screen
|
Smart design to optimize the operationDoctors can control the equipment in any direction of the operating bed through the touch screen of the bedside controller, avoiding direct contact with the equipment to destroy the sterile environment.
| • DSA control
|


Interventional Department
PLX7100A is widely used in clinical applications and is suitable for interventional
operations in various departments.

Gastroenterology

The FPD can be lifted in a wide range to flexibly adjust SID and be close to the examination area for clearer fluoroscopic images.
When fluoroscopy is started, the high-pressure injector automatically injects the contrast agent, which simplifies the doctor’s workflow and obtains high-quality angiography
images in a short time.

DSA is used to clearly visualize blood vessels in a
bony or dense soft tissue environment. Images are produced using contrast medium by subtracting a “pre-contrast image” or mask image from subsequent images, once the contrast medium has been introduced into a structure.

The bedside controller enables common operations such as motion control, exposure parameter adjustment, image viewing and saving to be done beside the operating table.

Large dynamic FPD with smaller pixel size, ensuring distortionless imaging; Wider FOV, avoiding overlapping and omissions, reducing exposure time and radiation dose, and shortening the operation time.
The maximum output power, as high as 25kW;
Effectively satisfying the imaging requirements of obese patients or thick parts of high-density tissues;
Fully meeting the needs of high-power instantaneous exposure in digital radiography, especially suitable for peripheral intervention and comprehensive intervention.

Large dynamic FPD
More than doubled imaging area
Meeting the surgical needs of about 80% large DSA equipment
Small footprint compared with large DSA equipment
Low operating costs without renovation and decoration of operating rooms
Instant surgery share with flexible movement
Convenient operation with plug-and-play

The operating room does not need to be modified and install ground rails and hangers, reducing the initial construction cost of intervention department.
The equipment can be freely moved to any operating room, which greatly improves the utilization rate of the equipment.
The equipment covers an area of only about 2 m2, saving the operating room space to place other equipment, which is convenient for the construction of a composite operating room.
Intelligently adjusting the pulse width.
Increasing the instantaneous X-ray dose.
Improving the image quality of each frame.
Extended working time, more than 3 times of continuous perspective under the same X-ray conditions.
Accurately adjusting exposure dose according to different body types and body parts
Achieving clear images with low radiation dose in various surgeries
Specialized for pediatrics
Removing the grid to reduce radiation absorption

Previewing the effective exposure field of view by observing the screen
Avoiding multiple exposures
Reducing the radiation damage to medical staff and patients

Doctors can control the equipment in any direction of the operating bed through the touch screen of the bedside controller, avoiding direct contact with the equipment to destroy the sterile environment.
Doctors can adjust the height, horizontal position of the equipment and fluoroscopic angles anytime and anywhere according to the needs of surgeries.
Clinical positioning is quickly completed and lesions can be captured from multiple angles.

• DSA control
• Roadmap, landmark setting
• Image adjustment
• Movement control
