2024-01-22 15:07:40 Views:974
The Department of Hepatobiliary Surgery of Guizhou Hospital successfully performed endoscopic retrograde cholangiopancreatography (ERCP) + duodenal papillary sphincterotomy (EST) for a patient with choledocholithiasis with acute pancreatitis using the Perlove Medical HF Mobile Digital C-arm System (Flat Panel Detector)
Patient: 76 years old, male
Imaging diagnosis: choledocholithiasis with acute pancreatitis
Mr. Luo, a 76-year-old man, was admitted to the hospital with right upper abdominal pain. He was asked about his past medical history, and an ultrasound of the liver, gallbladder, spleen and pancreas was performed. The report showed fluid exudation around the pancreas, strong echogenicity in the duodenal jugular and the common bile duct, and posterior acoustic shadowing. The patient's onset of illness was rapid, clinical symptoms were severe, and combined with the test reports, the patient needed to be hospitalized and receive surgical treatment as soon as possible. After discussion by the expert group of hepatobiliary surgery, ERCP+EST was performed for the patient.

The procedure went well

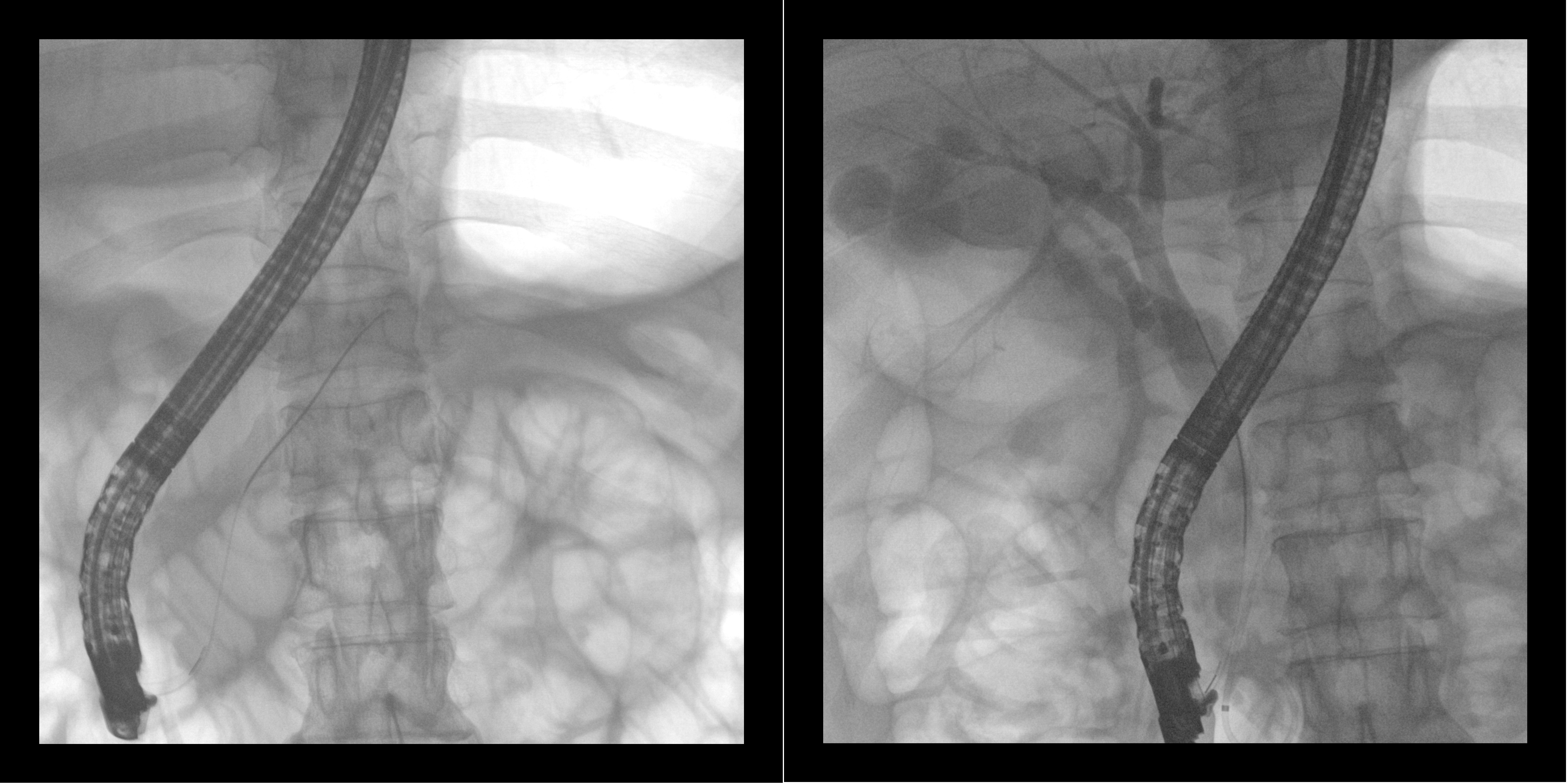
Intraoperative Fluoroscopy
ERCP is known as "the brightest pearl in the crown of digestive endoscopy". The doctor inserts an endoscope into the patient's mouth, enters the duodenum and finds the duodenal papilla, inserts a catheter through the endoscope and injects a contrast agent into the bile ducts, and then observes the bile ducts and the pancreatic ducts under X-ray fluoroscopy to visualize the bile ducts and the pancreatic ducts, so as to carry out the corresponding treatments. After years of clinical practice, ERCP has become an important method for clinical diagnosis and treatment of biliopancreatic diseases.EST (endoscopic duodenal papillary sphincterotomy), on the other hand, is developed on the basis of ERCP, which, as a minimally invasive surgery, can be used for safe, rapid and effective treatment of diseases such as choledochal stones.

Anatomical structure schematic
ERCP+EST is a minimally invasive procedure that represents the development trend of modern minimally invasive surgical concepts, and has become the preferred diagnostic and treatment method for many bile duct and pancreatic diseases. The procedure has significant advantages in the treatment of bile duct stones:
01Stone extraction through endoscopy, without incision, thus reducing the risk of wound infection
02 Fast recovery and fewer complications, shortening hospitalization time and reducing hospitalization costs.
03 ERCP has a high diagnostic accuracy for biliary and pancreatic system diseases, and can clarify the distribution of common bile duct stones, the location, nature and degree of bile duct stenosis, and the presence of bile duct deformity.
04 ERCP is helpful for early detection of jugular cancer
05 Due to light physiological interference, less patient pain, short operation time, for elderly patients or patients who cannot tolerate surgery due to physical weakness, ERCP + EST provides an alternative treatment method.
Advantages of Perlove medical in ERCP+EST application
The flat-panel interventional C (PLX7100A) launched by Perlove Medical can cooperate with endoscopy to provide high-definition images and real-time monitoring for ERCP surgery, which can help doctors better understand the condition of the lesion site, so as to better choose the treatment method and operation mode.
01 Large flat panel Wide field of view: 30cm*30cm large-size flat panel detector can provide a larger field of view for surgical observation, enabling the doctor to comprehensively observe the tissues around the stone, making the surgery more efficient and accurate.
02 Outstanding image: Perlove medical flat-panel interventional C can provide high-definition clinical images to help the doctor more accurately determine the location, size and shape of the lesion, to protect the precise operation.
03Flexible adjustment: full electric five-dimensional motion control, plate detector can be raised and lowered, and SID can be flexibly adjusted to make the plate closer to the examination site, and the image is clearer.
04 Convenient operation: Equipped with interventional bedside controller, convenient for intraoperative equipment control and parameter adjustment.

Intraoperative ERCP images
With its clear image and intelligent operation, Perlove Medical flat-panel intervention C-arm has been widely recognized in clinical application, thus entering more and more county hospitals, contributing a scientific and technological power to improve the quality and efficiency of interventional diagnosis and treatment in county hospitals!
The Large flat-panel all-in-one C-arm helps Pubei County Hospital of Traditional Chinese Medicine to carry out accurate diagnosis and treatment!
Read More »Perlove Medical shine at PhilMedical Expo 2024!
Read More »Perlove Medical:CHINA AID FOR SHARED FUTURE for Human Healthcare
Read More »Discover the Future of Healthcare at Medic East Africa 2024 in Kenyatta International Convention Centre, Nairobi, Kenya ,
Read More »New Arrival: Perlove Medical Launched the Third Generation of Mobile 3D C-arms PLX C7600
Read More »Join us at PhilMedical Expo 2024!
Read More »