2024-03-15 13:59:10 Views:1032
DR is one of the important examination means in clinical orthopedics. In orthopedic examination, spine orthopedics, long bone fracture, lumbar degenerative disease, etc., it is necessary to collect panoramic images of the spine and lower limbs to assist doctors in clinical diagnosis, so as to formulate a scientific treatment plan, and Perlove Medical's Dynamic Flat DR is just like a bridge connecting the modern medical technology with the local people's medical needs.

Rikaze City, Tibet Autonomous Region, is located on the border between China and Nepal. The special environment of high altitude, cold and low oxygen on the Tibetan Plateau has led to a higher incidence of local orthopedic diseases compared to other regions, and large bone joint diseases, long bone diseases and arthritis have become health problems that the local people cannot afford to ignore.
Rikaze Jilong County Central Hospital is like a compassionate guardian, quietly guarding the health of the local people. Recently, Perlove Medical Dynamic Flat DR was put into use in Jilong County Central Hospital, which marks a new milestone in the field of diagnostic imaging for the hospital.
PLX8600 Dynamic Flat DR, as a high-end digital radiography system (DR) of Perlove Medical, has been widely recognized by the industry for its high-quality imaging, powerful functions and humanized design. Its introduction will undoubtedly greatly enhance the medical service level of Jilong County Central Hospital, which has far-reaching significance in improving the health and well-being of the local people.

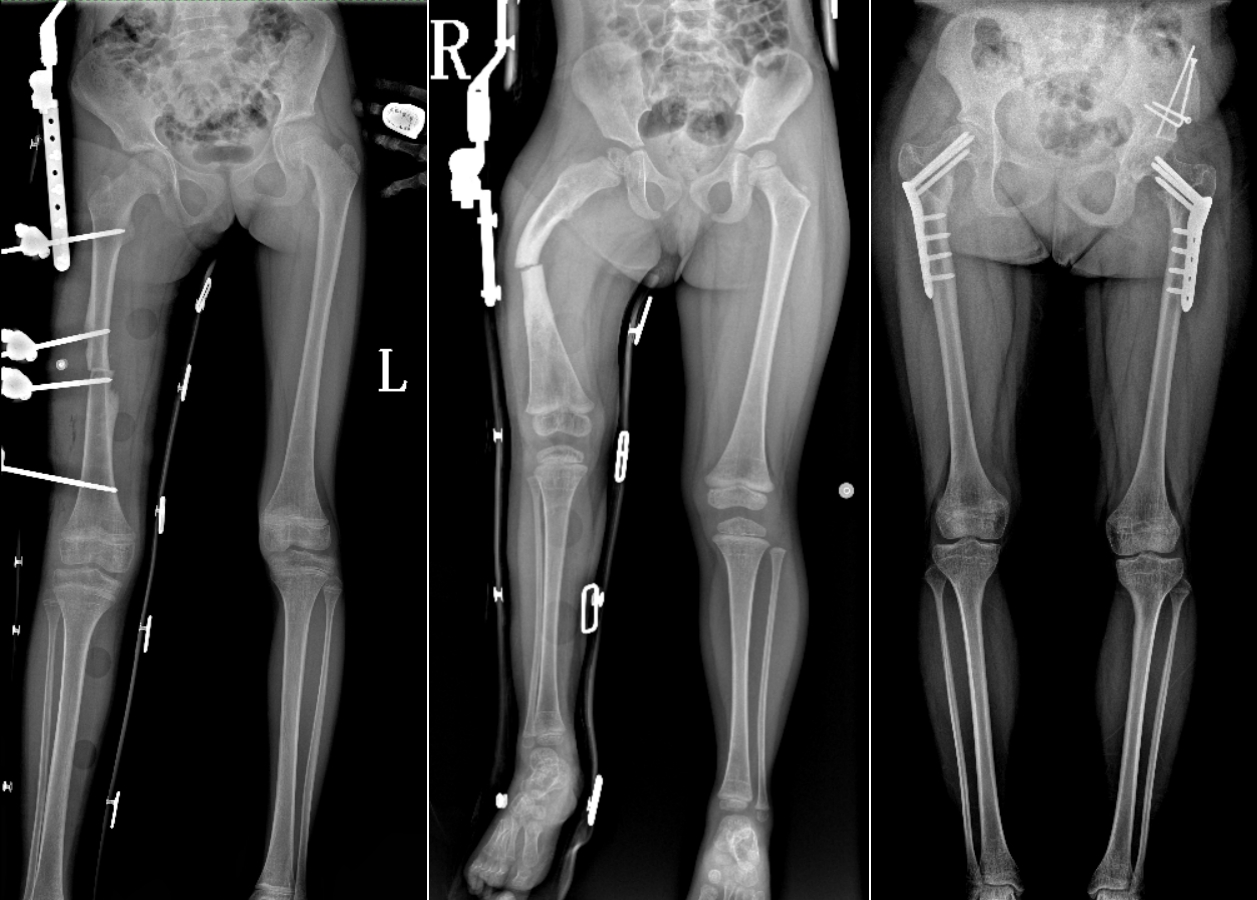
PLX8600 dynamic flat panel DR independently developed by Perlove Medical adopts an effective field of view of 17"*34", which can get the image of the whole spine or the whole lower limb in one exposure. Compared with the DR equipment of multiple photography and then software splicing, PLX8600 solves the problems of uneven density of spliced images, image alignment and magnification effect at the splicing place, and brings a real large field of view image solution to the clinic.

In addition to conventional static photography, Perlove Medical dynamic flat DR with dynamic fluoroscopy function, can well observe complex lesions, effectively capture the key frames, reduce the probability of patients taking multiple films. Such as: total spine status assessment, long bone joint mobility, lower extremity venography valve function assessment, digestive function assessment, spinal myelography and other large field of view clinical applications, "multi-faceted" can be easily dealt with.
It is worth mentioning that PLX8600 dynamic flat panel DR also has excellent durability and stability. In the plateau climate, large temperature differences, low air pressure, thin oxygen and other factors may have an impact on medical equipment. Perlove Medical has taken these factors into consideration to ensure that the dynamic flat panel DR can work stably in harsh environments, which is crucial for safeguarding the daily operation of hospitals.
In addition, Perlove Medical not only provides advanced equipments, but also provides comprehensive technical support and services for hospitals. From installation and commissioning to post maintenance, the considerate service of the professional team ensures the smooth operation of the equipment and improves the operation skills and maintenance ability of the hospital staff.

Through this equipment upgrading, Jilong County Central Hospital has brought more convenient and efficient medical services to local residents while improving the diagnosis and treatment level. The input of PLX8600 dynamic flat panel DR of Perlove Medical not only injects new vitality into the plateau medical service, but also protects the health of the local people, which demonstrates the perfect combination of modern medical science and technology and humanistic care.
The Large flat-panel all-in-one C-arm helps Pubei County Hospital of Traditional Chinese Medicine to carry out accurate diagnosis and treatment!
Read More »Perlove Medical shine at PhilMedical Expo 2024!
Read More »Perlove Medical:CHINA AID FOR SHARED FUTURE for Human Healthcare
Read More »Discover the Future of Healthcare at Medic East Africa 2024 in Kenyatta International Convention Centre, Nairobi, Kenya ,
Read More »New Arrival: Perlove Medical Launched the Third Generation of Mobile 3D C-arms PLX C7600
Read More »Join us at PhilMedical Expo 2024!
Read More »