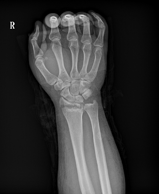
Obtain multiple diagnosis with dynamic and static imaging through multiple function of radiography, angiography and fluoroscopy. | Thanks to 171n*17in dynamic FPD and 3K3k acquisition matrix, the clinician will obtain high quality diagnostic images with ultra-high definition enhanced contrast resolution and wide gray scale through seamless switching in 0.6 second of the static and dynamic radiography modalities.
|
Dynamic PLX 8500 series let you enjoy standard radiography, high definitions radiography and visual dynamic fluoroscopy with high productivities and workflow.Dynamic PLX8500 series images at high-efficiency dose and dehvers diagnostic image with high quality at low dose.
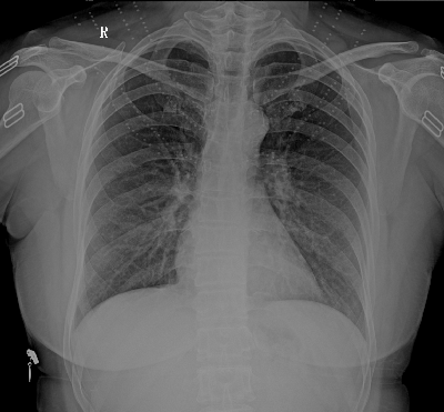
Eliminate the obstructions of bones, while achieve excellent details of the entire digestive system, urinary system and reproduction system through our imaging and subtraction. Perlove digital image process system will deliver sharp detail and consistent performance to help physicians easily locate the pathology.
| Advanced image processing and featured an easy and intelligent operation.With Intelligent lBS System, the healthcare providers benefit from interactive graphic screen with increasing convenience and automation.With lBS control system, no more parameters adjustment and repeated exams br the diagnostic image and the automatically recognized damaged location which decrease the clinicians operation time and the radiation for patient. Additional parameters adjustment may result in patient anxiety and discomfort, PLXSSOO with lBS system deliver fast and easy x-ray images for small children to obese adults without parameters adjustment. Multiple auto paste image during the dynamic fluoroscopy and radiography replay benefit clinicians with extraordinary detail which matters and form diagnostic report immediately.
|
The large screen displays diagnostic clarity with enhanced contrast.Physicians can view the image and replay the dynamic radiography at the same screens to get the precise diagnosis. | The radiographic image can be extended to different screens which realize the multiple perspectives observations for clinicians.
|
Thanks to 171n*17in dynamic FPD and 3K3k acquisition matrix, the clinician will obtain high quality diagnostic images with ultra-high definition enhanced contrast resolution and wide gray scale through seamless switching in 0.6 second of the static and dynamic radiography modalities.

Dynamic PLX8500 series images at high-efficiency dose and dehvers diagnostic image with high quality at low dose.
On the basis of preliminary diagnosis, clinicians reconfirm the lesion with a clearer image to reduce missed diagnosis.
Snap shot delivers sharp images with 9 million pixels to decrease the misdiagnosis.

Eliminate the obstructions of bones, while achieve excellent details of the entire digestive system, urinary system and reproduction system through our imaging and subtraction. Perlove digital image process system will deliver sharp detail and consistent performance to help physicians easily locate the pathology.

With lBS control system, no more parameters adjustment and repeated exams br the diagnostic image and the automatically recognized damaged location which decrease the clinicians operation time and the radiation for patient.
Additional parameters adjustment may result in patient anxiety and discomfort, PLXSSOO with lBS system deliver fast and easy x-ray images for small children to obese adults without parameters adjustment.
Multiple auto paste image during the dynamic fluoroscopy and radiography replay benefit clinicians with extraordinary detail which matters and form diagnostic report immediately.

Physicians can view the image and replay the dynamic radiography at the same screens to get the precise diagnosis.
The ease to operate and intuitive contrast processing Dynamic 5UU series is tne First digital radiography to use ultra-wide 34 inches screens which free clinicians from the constraints of double-screen and dual workstations, realizing the simultaneous display of collected images and playback images.
The radiographic image can be extended to different screens which realize the multiple perspectives observations for clinicians.







