![]() | Rebirth of radiology imaging100kW High power generator/large heat capacity/long standby timeNo appointment required, walk-in radiography The maximum heat capacity of X-ray tube reaches to 1.8MHU, which ensures a long standby time for continuous workflow regardless of radiography or fluoroscopy. |
Intelligent parameter turning+ smart dose controlSmart sensor, liberate your hands The AEC ionized chamber ensures automatic parameter modulation based on different body thickness, whenever the auto mode is on, no manual adjustment required by radiologists. With the DAP dose monitor program, PL X8600 large view dynamic FPD radiographyfuoroscpy system is able to present patient’s cumulative dose in a single exposure, easy for radiologists to safely oversee radiation of frequent-visit patients. | Dose reduced, sharpness remained illness has no place to hideCystal clear image with abundant layers PLX8600 large view dynamic FPD radiography/fluoroscopy system is able to achieve images in both standing and recumbent position with extraodinary quality. With a self-developed image equalized processing program, it provides a better balanced image for the tissue thickness of different body parts. More field of view, more clear image, more abundant layers. |
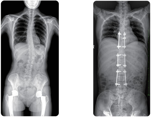
Rebirth of radiology imagingFull spine in one image | One for all Extra-large view for radiography/fluoroscopyMore function and easy operation Apart from radiography, larger FPD also supports dynamic fluorocopy and DSI. Through dynamic fluoroscopy as well as DSI, PLX8600 is able to observe the lesion in complex body parts, capture the keyframe effectively as well as enormously reduce the repeat rate of radiography. E.g. evaluating the mobility of long bone articulation, full vertebrae condition, valves in veins of lower limbs, gastrointestinal function and radiography of spinal cord. Apart from the above, more clinical use can be expanded.
|
1 7” * 34" Extra Size FPD | ![]() |
Breakthrough in Full-body radiographyFirst-rate solution for instant diagnosisDynamic imaging in weight-bearing position Weight-bearing is the amount of weight a patient puts on an injured body part, it reveals the pathological condition of the whole body skeleton in naturally standing. Fast imaging a 1:1 precise full spine image in a weight-bearing position. | PLX8600 is also capable of showing clear dynamic image of multi-angle in weight-bearing position, revealing healing condition of lesions more specifically, bringing more perspectives for clinical examination and high-resolution DSI.
|
Breakthrough in Ful-body radiographyClinical solution of double imagingFull spine in one image No additional stitching required The idea of full spine in one exposure has a significant value in the clinical usage of lumbar degenerative diseases, ankylosing spondylitis, spinal tuberculosis etc. Giving a thorough examination of fracture site under the fluoroscopy image, as well as performing preoperative and postoperative diagnosis. E.g. oblique position of spine, pars interarticularis etc. Observing the whole spinal motion through fluoroscopy, as well as mobility and bone structure of pathological spine. Guided by fast DSI to capture keyframes, enabling radiologist to deploy precise surgical plans. | Dynamic fluoroscopy also could be used in myelography, which serve as an radiologic diagnosis for multiple diseases like space occupying lesion of spinal canal, disc protrusion, spinal stenosis, spinal cord malformation and degenerative diseases etc. Visualizing intramedullary nail Intramedullary nailing is the most common minimally invasive surgery in orthopedics. PLX8600 could be able to provide large filed of view for better demonstrating fracture site and nail position, e.g. those IM nails implanted in femur and humerus in particular. One photograph for both lower limbs, no additional stitching required. Measuring funciton is also available, which is easy for radiologist to record the data for accurate diagnosis. |
|
|
Provide more efficient and accurate clinical evidenceOptimize clinical experience with innovative science technology17**34″ ultra-large flat panel detector, a more precise 1:1 image without stitching | Increasing profitability and improving patient outcomesOne for all Value gained moreAll in one dynamic/static multifunctional DR,best and professional solution for comprehensive radiography Protecting every patientswith technologySmart dose monitoring Protection for both doctors and patientsFull spine in one image, low dose mode designed for pediatrics |

No appointment required, walk-in radiography
The maximum heat capacity of X-ray tube reaches to 1.8MHU, which ensures a long standby time for continuous workflow regardless of radiography or fluoroscopy.
Smart sensor, liberate your hands
The AEC ionized chamber ensures automatic parameter modulation based on different body thickness, whenever the auto mode is on, no manual adjustment required by radiologists.
With the DAP dose monitor program, PL X8600 large view dynamic FPD radiographyfuoroscpy system is able to present patient’s cumulative dose in a single exposure, easy for radiologists to safely oversee radiation of frequent-visit patients.
Cystal clear image with abundant layers
PLX8600 large view dynamic FPD radiography/fluoroscopy system is able to achieve images in both standing and recumbent position with extraodinary quality.
With a self-developed image equalized processing program, it provides a better balanced image for the tissue thickness of different body parts. More field of view, more clear image, more abundant layers.
Double the view in equal radiation
The 17**34″ large view FPD, which is twice as big as the classical 17**17″ panel on the market, can obtain an image without further stitching. Compared with the conventional DR requiring multiple stitching, PLX8600 solve the issues caused by stitching such as uneven image density, image registration and magnification provide a true clinical solution of large view image.
Thanks to rapid exposure of PL X8600 large view dynamic FPD DRF system, patients are able to finish the examination faster, and receive only 1/2 or 1/3 radiation of the conventional DR requiring multiple stitching in a single exposure.

More function and easy operation
Apart from radiography, larger FPD also supports dynamic fluorocopy and DSI. Through dynamic fluoroscopy as well as DSI, PLX8600 is able to observe the lesion in complex body parts, capture the keyframe effectively as well as enormously reduce the repeat rate of radiography.
E.g. evaluating the mobility of long bone articulation, full vertebrae condition, valves in veins of lower limbs, gastrointestinal function and radiography of spinal cord. Apart from the above, more clinical use can be expanded.


Dynamic imaging in weight-bearing position
Truly reveal ilness condition
Weight-bearing is the amount of weight a patient puts on an injured body part, it reveals the pathological condition of the whole body skeleton in naturally standing. Fast imaging a 1:1 precise full spine image in a weight-bearing position.
PLX8600 is also capable of showing clear dynamic image of multi-angle in weight-bearing position, revealing healing condition of lesions more specifically, bringing more perspectives for clinical examination and high-resolution DSI.

Full spine in one image No additional stitching required
The idea of full spine in one exposure has a significant value in the clinical usage of lumbar degenerative diseases, ankylosing spondylitis, spinal tuberculosis etc.
Giving a thorough examination of fracture site under the fluoroscopy image, as well as performing preoperative and postoperative diagnosis. E.g. oblique position of spine, pars interarticularis etc.
Observing the whole spinal motion through fluoroscopy, as well as mobility and bone structure of pathological spine. Guided by fast DSI to capture keyframes, enabling radiologist to deploy precise surgical plans.
Dynamic fluoroscopy also could be used in myelography, which serve as an radiologic diagnosis for multiple diseases like space occupying lesion of spinal canal, disc protrusion, spinal stenosis, spinal cord malformation and degenerative diseases etc.
Visualizing intramedullary nail
Intramedullary nailing is the most common minimally invasive surgery in orthopedics.
PLX8600 could be able to provide large filed of view for better demonstrating fracture site and nail position, e.g. those IM nails implanted in femur and humerus in particular.
One photograph for both lower limbs, no additional stitching required. Measuring funciton is also available, which is easy for radiologist to record the data for accurate diagnosis.


17**34″ ultra-large flat panel detector, a more precise 1:1 image without stitching
Radiography and fluoroscopy and for weight-bearing position, functional assessment for tssues in movement
Digital Spot film in 0.5 sec, saving every frames
Fast imaging in 0.5ms, reduce artifacts
Long standby, prolonged clinical workflow
All in one dynamic/static multifunctional DR,best and professional solution for comprehensive radiography
Convenient for academic communication, extend new clinical application
Improving both diagnosis eficiency and quantity
Full spine in one image, low dose mode designed for pediatrics
DAP dose monitoring, secure every exposure